Signed in as:
filler@godaddy.com
Signed in as:
filler@godaddy.com
It Is All Natural, Easy, And Provides A Number Of Potential Benefits.
Ozone is as activated oxygen. Oxygen is O2 and Ozone is O3, it contains three oxygen molecules instead of two. After a short time, that third molecule will break off and start the work of ozone therapy.
Ozone has been in use in medical applications since the early 1900s. It is used around the world.
Ozone is used as a drug-free therapy to fight infection, reduce swelling, and boost healing.
Ozone has been shown to be free from major side effects and extremely safe. It has a side effect rate of 0.000007%, far safer than many other therapies.
Compare it to other modern therapies and see how ozone ranks.


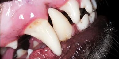
When a patient arrives at your clinic with gingivitis, a broken tooth, root issues, jaw pain, an abscess, or any other form of oral pain, ozone therapy should be applied.

When ozone is used on oral bacteria, it destroys the DNA of the bacteria cells so that the bacteria cannot grow back.

When ozonated water is flushed through periodontal pockets it sanitizes the pockets. Using ozonated water to flush the teeth kills off 99% the bacteria within 60 seconds.

Tissue cannot sustain without oxygen. Ozone plays a huge role in improving the process of normal oxygenation.

Ozone helps with the remineralization process of tooth enamel by hardening the enamel thus protecting it.

Appling Ozone to a sensitive or degrading tooth opens the dental tubules that are causing the occlusion, which results in desensitization of the nerve endings and happier patients.

Ozonated water can be just as, if not more, effective than Doxirobe or other medications in which you may face a shortage or question if/when a medication will become available.

Adverse reactions to sutures can cause reactive tissue to become inflamed and painful. Ozonated water can be used to reduce the inflammation, calming the inflamed tissue.

Once you purchase ozone equipment, the therapy has little to no overhead cost. The cost of equipment is very affordable when compared to pharmaceuticals and other everyday veterinary expenses.

Ozonated water can be run through scalers, drills, and all dental hand pieces on a monthly basis to remove buildup of biofilm left by water and other substances from everyday use of dental equipment.

Ozone is a natural part of our environment here on Earth. Scientist have researched & learned to developed this very powerful form of oxygen. No additives, preservatives, or flavorings in ozone. It is All Natural!
Vettoothtech